MDT-CBR01N 细胞(细菌)RNA提取试剂盒(柱式法)
【预期用途】
细胞(细菌)RNA提取试剂盒(柱式法)用于从培养细胞或革兰氏阴性细菌中分离纯化总RNA。
【检验原理】
裂解液裂解细胞释放核酸,并与核酸保护剂一起保护RNA不被核酸酶水解。中和缓冲液清除DNA,硅胶膜高效吸附RNA,洗涤吸附柱,去除蛋白、盐等杂质。在洗脱液作用下,硅胶膜释放吸附的RNA从而获得高质量的RNA。
【试剂盒组成、贮藏及有效期】
产品编号 | 组成成分 | 50T | 100T | 200T |
MDT-CBR01N | 细胞裂解液C | 20mL×1瓶 | 40mL×1瓶 | 80mL×1瓶 |
核酸保护剂 | 1mL×1支 | 2mL×1支 | 4mL×1瓶 | |
中和缓冲液R | 7.5mL×1瓶 | 15mL×1瓶 | 30mL×1瓶 | |
RAW1缓冲液 | 12mL×1瓶 | 24mL×1瓶 | 48mL×1瓶 | |
吸附柱(含收集管) | 50支 | 100支 | 200支 | |
洗脱液A | 5mL×1瓶 | 10mL×1瓶 | 20mL×1瓶 | |
使用说明书 | 1份 | 1份 | 1份 |
核酸保护剂:常温(10-30℃)运输,2-8℃保存;
其他成分:常温(10-30℃)运输保存。有效期1年。
【注意事项】使用前务必认真阅读以下注意事项
1. 使用前检查细胞裂解液C是否出现混浊,如有混浊,可于37℃以上孵育至澄清。
2. 使用前检查中和缓冲液R是否出现混浊或结晶,如有混浊或结晶,可于37℃以上孵育至澄清。
3. 提前配制RAW1,RAW1中乙醇含量低于60%会影响提取效率。
4. 提前配制80%乙醇水溶液,乙醇水溶液中乙醇含量低于80%会影响提取效率。
5. 本试剂盒在有效期内不同批号试剂可以互换。
6. 本产品无氯仿、苯等OSHA规定的危险物品,但细胞裂解液C和RAW1缓冲液中含刺激性化合物,操作时最好做好必要的防护措施,戴口罩手套,并且在通风的生物安全柜中进行。
7. 按当地法律法规处理生物样本和废弃物。
【样本要求】
新鲜的细胞标本、革兰氏阴性细菌标本、细胞保存液长期保存的细胞
【适用范围】
≦5.0×106个细胞;≦2.0×109个革兰氏阴性细菌。
【样本用量及RNA得率】
细胞数(个) | RNA得率(μg) |
1mL对数生长期大肠杆菌 | 25-30 |
5.0×104上皮细胞 | 0.5-1 |
1.0×105上皮细胞 | 1.5-2.0 |
1.0×106上皮细胞 | 15-20 |
5.0×106上皮细胞 | 60-80 |
动物组织/植物组织/细胞(细菌)RNA提取试剂盒(柱式法)
一、产品亮点
1. 提取快速安全:独创的安全快速方法,提取过程无需苯酚、氯仿以及OSHA规定的有毒物质,提取环境相对安全;完成1个提取过程仅需20分钟。
2. 适用样本范围广:适用于革兰氏阴性细菌、培养细胞、各种动物组织和植物组织。
3. RNA完整性好:RNA的完整系数(RIN)≧7,28SrRNA/18SrRNA≧1。
4. 提取效率高:10mg高丰度的动物组织平均可获得50μg左右的RNA,80mg嫩叶或种子可获得50-70μg左右的RNA,3.0×106的培养细胞平均可获得90μg左右的RNA。
5. 纯度高:260/230在2.0左右,260/280在2.0左右,可直接用于酶切、PCR、分子杂交等各种分子生物学实验。
二、适用范围:≦5.0×106个细胞;≦2.0×109个革兰氏阴性细菌;≦20mg动物组织;≦100mg植物组织。
三、实验数据
图1
图2
图3
图4
图1迈德泰克组织(细胞)RNA提取试剂盒(柱式法)与Trizol柱式法提取3×106个肺癌上皮细胞RNA(稀释10倍后3μL上样)的电泳结果。Lane1-2:Trizol法提取的RNA电泳图;Lane3-6:迈德泰克提取的RNA电泳图;Trizol法和迈德泰克方法提取的平均浓度为586.75vs 607.18 ng/μL×100μL。
图2迈德泰克组织(细胞)RNA提取试剂盒(柱式法)与Trizol柱式法提取组织RNA的电泳结果。Lane1,3,5:迈德泰克方法提取的RNA;Lane2,4,6:Trizol法提取的RNA。Lane1-2:肝组织(5mg)样本,提取浓度为526.4vs 509.6 ng/μL×100μL(稀释10倍后6μL上样);Lane3-4:肌肉组织(10mg)样本,提取浓度为33.3 vs 34.3 ng/μL×50μL(6μL上样);Lane5-6:脾组织(5mg)样本,提取浓度为744.1vs 747.8ng/μL×100μL(稀释20倍后5μL上样)。
图3迈德泰克植物组织RNA提取试剂盒(柱式法)提取植物RNA的电泳结果(稀释10倍后4μL上样)。Lane1-2:80mg嫩叶(779.4ng/μL×100μL,稀释20倍后4μL上样);Lane3-4:80mg种子(515.3ng/μL×100μL,稀释20倍后4μL上样);Lane5-6:100mg根茎(336.5ng/μL×100μL,稀释20倍后4μL上样)。
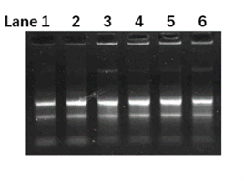
图4迈德泰克细胞(细菌)RNA提取试剂盒(柱式法)提取的细菌和痰液标本中RNA的电泳结果。Lane1-2:革兰氏阴性细菌(大肠杆菌)(173.2ng/μL×100μL,稀释10倍后5μL上样); Lane3-4:液化后1mL痰液中的细胞沉淀(28.3ng/μL×50μL, 5μL上样)。
表1 迈德泰克 RNA提取产品与Trizol方法的比较
方法 | 适用样本 | 苯酚 | 氯仿 | 提取介质 | 操作复杂程度 | RNA完整性 | 提取效率 | DNA残留 | |
Trizol | 沉淀法 | 各种类型 | √ | √ | 无 | 复杂 | 易降解 | 较低 | 几乎无 |
柱式法 | 各种类型 | √ | √ | 吸附柱 | 较复杂 | 完整 | 高 | 几乎无 | |
迈德泰克方法 | 柱式法 | 各种类型 | × | × | 吸附柱 | 简单 | 完整 | 高 | 几乎无 |
手工磁珠法 | 各种类型 | × | × | 磁珠 | 相对简单 | 完整 | 高 | 少量 | |
自动磁珠法 | 各种类型 | × | × | 磁珠 | 自动 | 完整 | 高 | 少量 | |
细胞(细菌)RNA提取(柱式法)常见问题
常见问题 | 原因 | 解决方案 |
未提取到RNA 或产量低 | 1.样本使用量过少 | 增加样本使用量,但细胞不超过5×106个,革兰氏阴性细菌不超过2.0×109个。 |
2. 样本未及时保存或保存不当 | 样本保存温度不当或保存时间过长,内源性RNase导致RNA降解。采用新鲜、液氮保存或保存液保存的样本 | |
3.细胞裂解液和中和缓冲液使用不当 | 细菌裂解液和中和缓冲液在温度较低时可能出现浑浊或结晶,使用前应置于37℃以上孵育直至完全溶解;按说明书正确加入细胞裂解液和中和缓冲液。 | |
4.异丙醇使用量过少或过多 | 按说明书准确加入异丙醇。 | |
5. RAW1中乙醇添加比例不当 | 使用无水乙醇配制RAW1,使乙醇含量达60%。 | |
6. 80%乙醇水溶液配制不当 | 使用无水乙醇配制80%乙醇水溶液,乙醇含量达80%。 | |
7.洗脱不当 | 洗脱液加至膜中央,适当减少洗脱体积,可65°C 预热、延长室温放置时间或者进行二次洗脱。 | |
RNA降解 | 1.样本未及时保存或保存不当 | 采用新鲜、液氮保存或保存液保存的样本。 |
2.样本反复冻融 | 避免样本反复冻融,分装保存。 | |
3.电泳污染和环境污染 | 电泳前确保电泳槽、制胶板和电泳液无RNase污染,如有污染,使用洗洁精充分清洗电泳槽和制胶板,再用3%双氧水浸泡20 min,然后用RNase-free ddH2O进行冲洗;使用RNase-free ddH2O配制电泳缓冲液。 | |
纯度低 | 1.盐离子残留 | 加入RAW1后闭盖静置30秒;避免RAW1接触吸附柱上下口;使用80%乙醇水溶液再洗涤1次。 |
2.乙醇残留 | 最后一次洗涤后,吸附柱闭盖12,000×g再离心3分钟。 | |
gDNA污染 | 1.样本使用量过高 | 减少样本使用量,细胞不超过5×106个,革兰氏阴性细菌不超过2.0×109个。 |
2.裂解液和中和缓冲液使用不当 | 按说明书正确加入裂解液和中和缓冲液。 |







