MDT-MR01N-1 微生物RNA提取试剂盒(柱式法)-研磨管
【预期用途】
微生物RNA提取试剂盒(柱式法)用于从革兰氏阴性细菌、革兰氏阳性细菌或真菌等生物体中分离纯化出的总RNA(含病毒和噬菌体RNA)。
【检验原理】
在高速振荡情况下,玻璃珠破坏微生物细胞壁,细胞裂解液裂解细胞释放核酸,并与核酸保护剂一起保护RNA不被核酸酶水解。中和缓冲液清除DNA,硅胶膜高效吸附RNA,洗涤吸附柱,去除蛋白、盐等杂质。在洗脱液作用下,硅胶膜释放吸附的RNA从而获得高质量的RNA。
【试剂盒组成、贮藏及有效期】
产品编号 | 组成成分 | 50T | 100T | 200T |
MDT-MR01N-1 | 消化液 | 2mL×1支 | 4mL×1瓶 | 8mL×1瓶 |
研磨管 | 50支 | 100支 | 200支 | |
细胞裂解液C | 25mL×1瓶 | 50mL×1瓶 | 100mL×1瓶 | |
核酸保护剂 | 1mL×1支 | 2mL×1支 | 4mL×1瓶 | |
中和缓冲液R | 7.5mL×1瓶 | 15mL×1瓶 | 30mL×1瓶 | |
RAW1缓冲液 | 12mL×1瓶 | 24mL×1瓶 | 48mL×1瓶 | |
吸附柱(含收集管) | 50支 | 100支 | 200支 | |
洗脱液A | 5mL×1瓶 | 10mL×1瓶 | 20mL×1瓶 | |
使用说明书 | 1份 | 1份 | 1份 |
核酸保护剂和消化液:常温(10-30℃)运输,2-8℃保存;
其他成分:常温(10-30℃)运输保存。有效期1年。
【注意事项】Ø使用前务必认真阅读以下注意事项
1. 使用前,细胞裂解液C如有沉淀则37℃以上孵育至液体澄清(孵育约5-10分钟)。
2. 使用前检查中和缓冲液R是否出现混浊或结晶,如有混浊或结晶,可于水浴中孵育至澄清。
3. 提前配制RAW1,RAW1中乙醇含量低于60%会影响提取效果。
4. 提前配制80%乙醇水溶液,乙醇水溶液中乙醇含量低于80%会影响提取效果。
5. 本试剂盒在有效期内不同批号试剂可以互换。
6. 虽然本产品无氯仿、苯等OSHA规定的危险物品,但操作时最好做好必要的防护措施,戴口罩手套,并且在通风的生物安全柜中进行。
7. 按当地法律法规处理生物样本和废弃物。
【样本要求】
新鲜的痰液、脓液、宫颈粘液、粪便、尿液、胸腹水、肺泡灌洗液、脑脊液、组织渗出液、各种拭子(宫颈刷)、培养物等。
【适用范围】
≦2.0×109个细菌;≦5.0×107个真菌。
微生物RNA提取试剂盒(研磨法)
一、产品亮点
1. 破壁效果好速度快:对革兰氏阳性菌和真菌的破壁速度快(10分钟内即可完成破壁)、效果好,克服了溶菌/溶壁酶法操作时间长,并且只对部分细菌的细胞壁有效的缺点。
2. RNA完整:迈德泰克研磨法提取的革兰氏阳性菌和真菌的RNA完整,克服了酶法RNA容易降解的缺点。
3. 操作简单快速:独创的快速方法,完成1次提取只需30分钟。
4. 提取环境安全:提取过程无苯酚、氯仿以及OSHA规定的有毒物质,提取环境相对安全。
二、适用范围:≦2.0×109个细菌;≦5.0×107个真菌
三、实验数据
表1 迈德泰克研磨法提取革兰氏阳性菌和真菌RNA与溶菌/溶壁酶法的比较
微生物名称 | 方法 | 260/280 | 260/230 | 浓度(ng/μL) | 洗脱体积(μL) |
粪肠球菌 | 研磨法 | 2.13 | 2.23 | 183.0 | 50 |
溶菌酶法 | 2.23 | 2.44 | 165.0 | ||
表皮葡萄球菌 | 研磨法 | 2.20 | 2.36 | 95.7 | 50 |
溶菌酶法 | 1.99 | 1.57 | 17.2 | ||
热带假丝酵母菌 | 研磨法 | 2.18 | 2.16 | 65.2 | 50 |
溶壁酶法 | 1.93 | 1.39 | 36.3 |

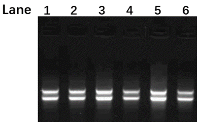
图 迈德泰克微生物RNA提取试剂盒(研磨法)提取的不同微生物RNA电泳图。Lane1:研磨法提取的粪肠球菌RNA,上样量1.5μL;Lane2: 溶菌酶法提取的粪肠球菌RNA,上样量1.5μL;Lane3: 研磨法提取的表皮葡萄球菌RNA,上样量3μL;Lane4: 溶菌酶法提取的表皮葡萄球菌RNA,上样量10μL;Lane5: 研磨法提取的热带假丝酵母菌RNA,上样量5μL;Lane6: 溶壁酶法提取的热带假丝酵母菌RNA,上样量5μL。
微生物RNA(柱式法)提取常见问题
RNA提取常见问题 | 原因 | 解决方案 |
吸附柱堵塞 | 1.样本使用量过多 | 减少样本使用量,使用量不超过2.0×109个细菌和5.0×107个真菌。 |
未提取到RNA 或产量低 | 1.样本使用量过少 | 增加样本使用量,但使用量不超过2.0×109个细菌和5.0×107个真菌。 |
2. 样本未及时保存或保存不当 | 样本保存温度不当或保存时间过长,内源性RNase导致RNA降解。采用新鲜、液氮保存或保存液保存的样本。 | |
3.细胞壁破坏不充分 | 研磨时细胞壁破坏不充分,增加研磨速度和时间。 | |
4.细胞裂解液和中和缓冲液使用不当 | 细菌裂解液和中和缓冲液在温度较低时可能出现浑浊或结晶,应置于37℃以上孵育直至完全溶解;按说明书正确加入细胞裂解液和中和缓冲液。 | |
5.异丙醇使用量过少或过多 | 按说明书准确加入异丙醇。 | |
6. RAW1中乙醇添加比例不当 | 使用无水乙醇配制RAW1,使乙醇含量达60%。 | |
7. 80%乙醇水溶液配制不当 | 使用无水乙醇配制80%乙醇水溶液,乙醇含量达80%。 | |
8.洗脱不当 | 洗脱液加至膜中央,适当减少洗脱体积,可65°C 预热、延长室温放置时间或者进行二次洗脱。 | |
RNA降解 | 1.样本未及时保存或保存不当 | 采用新鲜、液氮保存或组织保存液(RNA Later)保存的样本。 |
2.样本反复冻融 | 避免样本反复冻融,分装保存。 | |
3.电泳污染和环境污染 | 1.电泳前确保电泳槽、制胶板和电泳液无RNase污染,如有污染,使用洗洁精充分清洗电泳槽和制胶板,再用3%双氧水浸泡20 min,然后用RNase-free ddH2O进行冲洗;使用RNase-free ddH2O配制电泳缓冲液。 2.使用相对新鲜(2-8℃密闭保存不超过3天)的琼脂糖凝胶进行电泳。 3. 配制琼脂糖凝胶时,凝胶室温凝固时间在30-60分钟之间。 | |
纯度低 | 1.盐离子残留 | 加入RAW1后闭盖静置30秒;避免RAW1接触吸附柱上下口;使用80%乙醇水溶液再洗涤1次。 |
2.乙醇残留 | 最后一次洗涤后,吸附柱闭盖12,000×g再离心3分钟。 | |
gDNA污染 | 1.样本使用量过高 | 不同样本DNA含量相差大,减少样本使用量,使用量不超过2.0×109个细菌和5.0×107个真菌。 |
2.裂解液和中和缓冲液使用不当 | 按说明书正确加入裂解液和中和缓冲液。 |



